Dentallabor Darko Babic
Dentallabor Darko Babic

Zahnästhetik / Zahnersatz

Zahnästhetik von Dentallabor Babic 

Die Fertigung von ästhetisch erstklassigen Front- und Seitenzähnen ist für Zahnarzt und Zahntechniker eine anspruchsvolle Herausforderung. Doch die Arbeit und das Engagement lohnen sich.

 

Denn Patienten, welche schöne Zähne erhalten, empfehlen ihren Zahnarzt gerne weiter. In der Zahnästhetik sind es oft die Feinheiten, die einer Restauration die besondere Note verleihen und Patienten begeistern.

 

Unser Ästhetik-Know-how ist über Jahre hinweg gewachsen und hat uns die Reputation als „Ästhetik-Spezialisten“ eingebracht.
 

Zahnersatz - Von hochwertig bis preisgünstig – wunschgerechter Zahnersatz für jeden Patienten

Unsere Vielzahl an Technologien und Werkstoffen eröffnet Zahnarzt und Zahntechniker nahezu unbegrenzte restaurative und prothetische Möglichkeiten – für jedes Portemonnaie. Ganz gleich, welche Versorgungsart Sie und Ihr Patient wählen – Qualität und Service sind bei uns oberstes Gebot. Dies gilt für anspruchsvollen, hochwertigen Zahnersatz ebenso wie für Standardversorgungen.

12-22 Kronen

12-23 nonpräp Veneers

13-23 Kronen

13-23 Kronen

44-47,14-17 Kronen

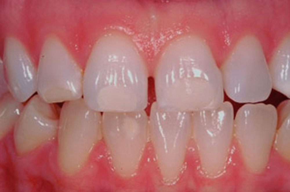
Brücke 12-22

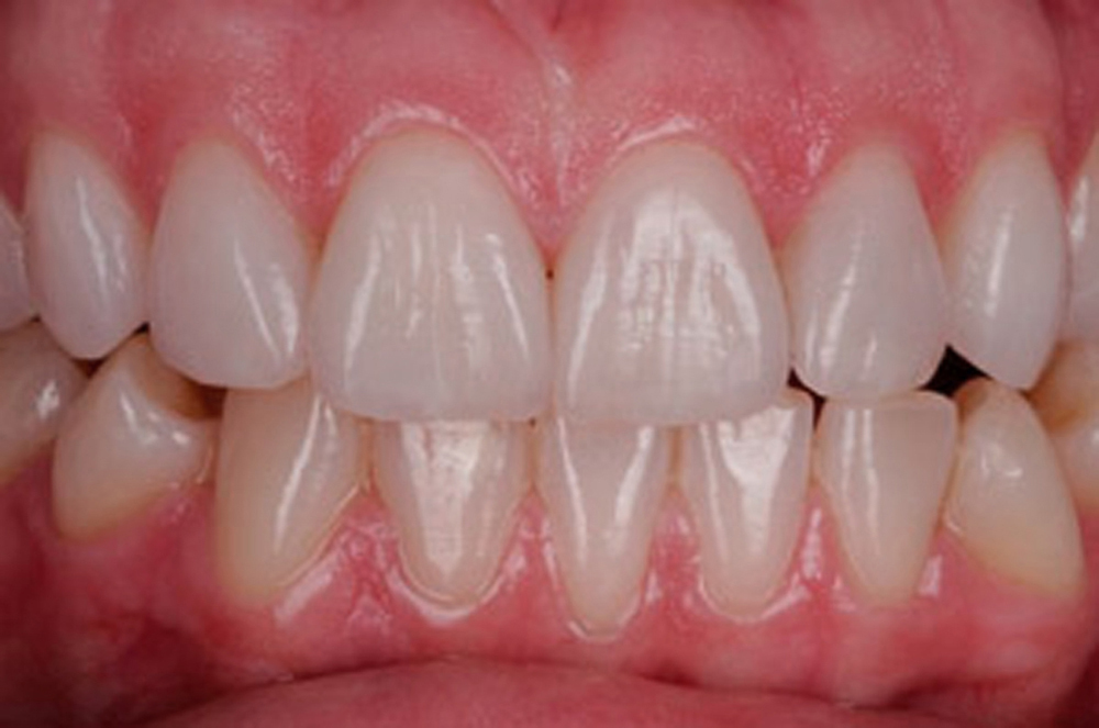
Kronen 12-22

OK Totalsanierung

OK Totalsanierung

OK UK Totalsanierung

Veneers 12-22

Druckversion | Sitemap
Dentallabor Darko Babic