Dentallabor Darko Babic
Dentallabor Darko Babic

Implantat-Prothetik

Implantat-Prothetik nach Maß
 

Durch jahrelange Zusammenarbeit mit implantierenden Zahnärzten und Oralchirurgen sind wir mit der Implantologie bestens vertraut. Rund um die Implantatprothetik können Sie folgende Leistungen und Kompetenzen von uns erwarten:

 

  • Vielseitigen Implantat-Zahnersatz auf den gängigen Systemen. Sie erhalten von uns Konstruktionen mit Stegen, Kronen, Brücken, Riegeln, Geschieben, Teleskopen, Prothesen.
     
  • Eine umfassende Technologie- und Werkstoffvielfalt mit Zirkonoxid, Galvanotechnik, Titan, NEM, PEEK-Kunststoff, Vollkeramik u. v. m. Dadurch werden wir nahezu allen Anforderungen rund um die Implantat-Prothetik gerecht.
     
  • Individuellen Kunden- und Patientenservice. Dazu gehören ideenreiche Lösungsvorschläge sowie - auf Wunsch - die Mitwirkung bei der Behandlungsplanung und Patientenberatung. 

 
Durch regelmäßigen Meisterkontakt, Dialog und transparente Arbeitsplanung leisten wir einen Beitrag zum erfolgreichen und rationellen Therapieverlauf.
 

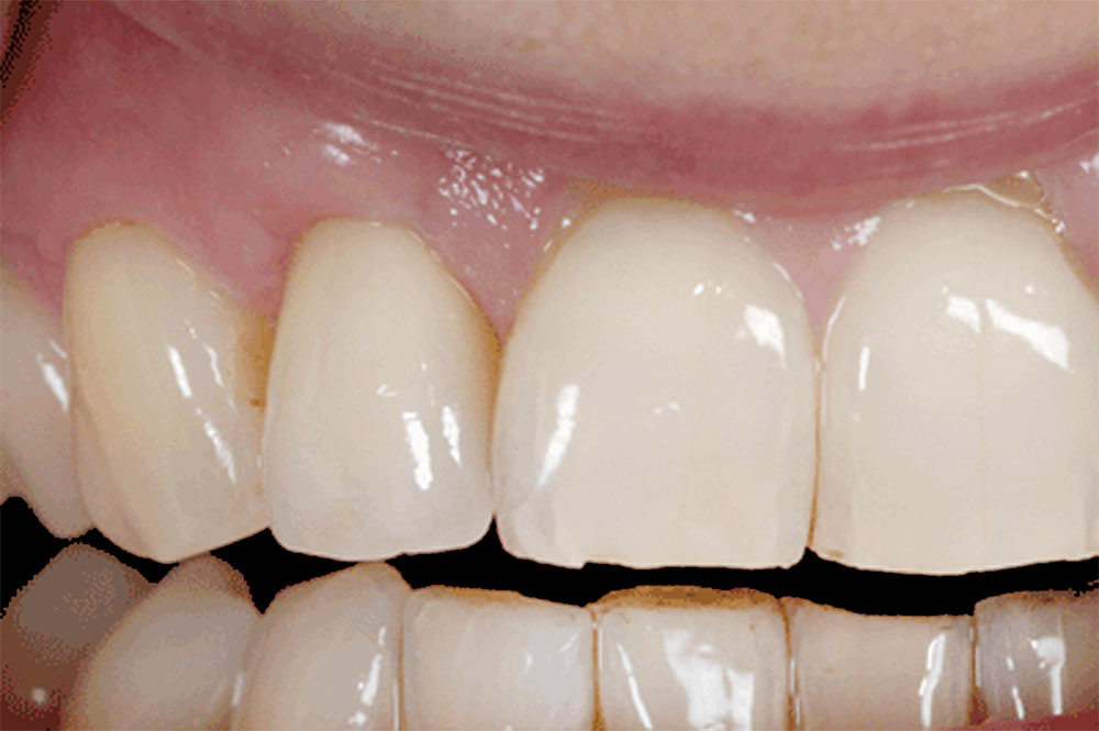
Implantat 11

Implantat 11

Implantat 12

Implantat 26

Implantat 36

Implantat 34-36

Implantate OK transversal verschraubt

Druckversion | Sitemap
Dentallabor Darko Babic